GENETIC DISEASES THEORY
UNDERSTANDING “GENETIC DISEASES”
IN THE CONTEXT OF GERMAN NEW MEDICINE
GENETICS AND THE POWER OF A MEDICAL DOGMA
The theory of the genetic origin of diseases is one of the most firmly upheld doctrines of today's medicine.
Medical science claims that cancer is brought on by “mistakes in DNA replication”, causing cells to gradually change from normal to “abnormal” and eventually to “malignant” cells. The mapping of cancer genes is thus one of modern medicine's latest ventures.
Modeled after the Human Genome Project, the International Cancer Genome Consortium has been created to coordinate cancer genome sequencing on a large scale. The objective, as clearly stated by Dr. Mike Stratton from the Cancer Genome Project (the Wellcome Trust Sanger Institute), is that “by identifying all the cancer genes we will be able to develop new drugs that target the specific mutated genes and work out which patients will benefit from these novel treatments”.
Recently, British Scientists found 23,000 mutations in lung cancer cases. Curiously, they also found that not all of these mutations cause cancer! Mutations in the genes BRCA1 and BRCA2 are said to increase a woman's risk of getting breast cancer. Within the next five years, the Consortium plans to map the genomes of yet another 1,500 different breast cancers. “The more breast cancer genomes they map, the better an idea we have of the disease's causes”, says Dr. Reis-Filho of the Institute of Cancer Research in London (Los Angeles Times, December 24, 2009).
Under the guise of “good science”, “prophylactic” measures such as “preventive mastectomies” are recommended “to reduce the chance of developing cancer”. Another “preventive” measure is the “zapping” of the tagged cancer cells, “because a cancer cell is like a person and we must kill it to live”, argues Dana Blankenhorn (Rethinking Health Care).
The medical consensus on the genetic origin of diseases also serves as justification for the screening of embryos for “abnormal” genes. Pre-implantation genetic diagnosis (PGD) involves taking a cell from an embryo at the eight-cell stage of development and testing it. Doctors then “select an embryo free from rogue genes to continue the pregnancy, and discard any whose genetic profile points to future problems. Using PGD is to ensure a baby does not carry an altered gene.” (BBC 2006)
All too often, medicine takes it upon itself to “improve” human beings - here again, in spite of the lack of evidence that “defective genes” are necessarily the cause of cancer and a very limited knowledge as to precisely why the genetic changes occur in the first place.
EPIGENETICS AND THE POWER OF THE ANCESTORS
Studies in the science of Epigenetics show that genes are by no means 'set in stone' but that they can alter themselves in response to a person's environment. In short, the DNA and thus the biology of an organism are constantly adjusting themselves to signals from outside the cells, including energetic information arising from thoughts and beliefs.
Based on this new model, Epigeneticists are of the view that diseases such as cancer are not caused by defective genes, as claimed by mainstream geneticists, but rather by non-genetic factors that alter the expression of genes without changing the DNA sequence.
Furthermore, proponents of the theory suggest that ancestral emotions and life experiences have an enduring effect on subsequent generations. The onset of a present-day illness is believed to be triggered by tapping into the “transgenerational memory” of a forbearer. This idea is based on observations that “the paternal (but not maternal) grandsons of Swedish boys who were exposed during preadolescence to famine in the 19th century were less likely to die of cardiovascular disease. The opposite effect was observed for females; the paternal (but not maternal) granddaughters of women who experienced famine while in the womb (and their eggs were being formed) lived shorter lives on average.” (Ghost in Your Genes, Marcus Pembrey, University College London, BBC 2006)
Total Biology (Claude Sabbah), Biogenealogy (Christian Flèche), and Biodecoding (Marie-Anne Boularand) follow a similar philosophy. Ironically, these modalities are based on a bizarre distortion of Dr. Hamer's scientific discoveries. “Biological conflicts”, for instance, are construed as “seeds sown in the life of the individual's ancestors, who inject a distressful memory into the family tree that silently leaps from generation to generation, where it is transmuted into illness” (Patrick Obissier). Hence, “freedom from the Ancestor Syndrome” (Ancelin Schutzenberger) is the prime objective of the “therapy”, which aims to release the descendant from the genetic programming, so that he, in turn, is spared from inflicting diseases upon future generations.
The notion that a current illness has its origin in the distressing life experience of an ancestor cannot be substantiated. This relegates the notion of the transgenerational causes of diseases to the realm of myths, in this case, of myths steeped in fear and in guilt. The same applies to the staged dramas of Bert Hellinger's “Family Constellations”-therapy, whose objective is to “cure” an individual's ailment by evoking unresolved issues of or with members of the clan, both of the past and the present.
“The Biology of Belief”
The studies of Bruce Lipton, presented in “The Biology of Belief” (2005), are refreshingly science-based. Dr. Lipton, a trained cell biologist, demonstrates through scientific experimentation that the behavior of cells and the epigenetic expression of genes are indeed influenced by a person's beliefs and perception of the world. This translates into a profound shift from being controlled by our genes to the control over our genes. “From Victim to Master” quickly became the slogan of Epigeneticists.
Dr. Joe Dispenza (“Evolve Your Brain”, 2006) introduces the “Biology of Change” by drawing on intriguing research from the emerging field of neuroplasticity. In accordance with the discoveries of the new physics of quantum mechanics, both Lipton's and Dispenza's findings corroborate, whether on the cellular or neurological level, that the mind is a powerful co-creator of our reality.
On the principle “the mind controls the genes” and “thoughts change the biology” both researchers conclude that beliefs and thoughts must also be the underlying cause of diseases. “A negative belief can make you sick” (Lipton) and “thoughts create disease” (Dispenza), they argue. At first glance, this seems reasonable. However, the beliefs-and-thoughts-cause-disease theory fails to explain why a person develops a very specific disease; why a heart condition such as angina pectoris, why a certain type of cancer (lung cancer, liver cancer, prostate cancer), why a muscle disorder, why a skin rash, or simply a common cold. The theory is unable to explain why, for example, a woman develops breast cancer in the breast glands (glandular breast cancer) or in the milk ducts (intra-ductal breast cancer), why the cancer is in her right or in her left breast, why the tumor grows fast or more slowly, and, furthermore, why not every woman who “believes” in breast cancer, rather who is indoctrinated with the fear of breast cancer, which is the vast majority of women, ends up getting the cancer. The claim that an illness is the result of a person's beliefs or thoughts does not account for the fact that non-congenital diseases, such as hepatitis, occur already in newborns. Furthermore, mammals and other species also develop illnesses, including many different types of cancers, even though they (most likely) do not “believe” in diseases.
All medical theories, whether conventional or “alternative”, past or current, are based on the concept that diseases are “malfunctions” of the organism. Diseases are thought to be caused by pathogenic microbes, malignant cancer cells, defective gene mutations, a weak immune system, environmental toxins, electromagnetic pollutants, geopathic radiation, carcinogens, smoking, a poor diet, obesity, nutritional deficiencies, imbalanced pH levels, hormones, root canals, stress, negative beliefs, and the list goes on.
Dr. Hamer's ground-breaking discovery that diseases are not senseless “disorders” but in reality meaningful biological processes trying to save an organism rather than to destroy it, and his findings that diseases are not “errors” of Nature but instead Significant Biological Programs of Nature created to support an individual during emotional distress, turn medicine as we know it entirely on its head. German New Medicine is the biggest challenge medical science and medicine as a whole has ever faced.
THE BIOLOGY OF THE BRAIN
Dr. Hamer is the first to investigate the cause of diseases by taking the brain into close account. The brain controls all processes in the body. By comparing his patients' brain CT scans with their medical records and their personal histories, he found that an emotional trauma or “conflict shock” (DHS as he termed it) leaves a visible mark in precisely the same area of the brain that controls the disease process. Based on the study of tens of thousands of cases, he discovered that the psyche, the brain, and the body constitute a biological unit, encoded with Biogical Special Programs to secure survival. Dr. Hamer established that the brain acts as a mediator between the psyche and the body, with both receiving and transmitting functions. He identified the brain as the biological control station from where these age-old emergency programs are directed and coordinated.
Every Biogical Special Program has two phases: a conflict-active phase and, provided the conflict can be resolved, a healing phase.
During the conflict-active phase, the whole organism is engaged in facilitating a conflict resolution. Beginning at the very moment of the DHS, the autonomic nervous system switches into a state of stress (sympathicotonia), causing “sleep disturbances”, while the psyche shifts into a compulsive thinking mode. The purpose of the extra waking hours and intense focus on the conflict is to find a resolution to the conflict as soon as possible. Simultaneously, in unison with the psyche and the autonomic nervous system, the conflict-related organ responds with functional changes to assist the individual on the physical level during the unexpected distress. These well-coordinated processes are initiated and controlled from the precise brain relay that corresponds both to the particular type of conflict as well as to the corresponding organ.
Every so often the HH is also visible on an organ CT, which makes the brain-organ correlation strikingly evident.
THE 'BIOLOGY' OF THE PSYCHE
Dr. Hamer's research reveals that the psyche is an integral part of the human biology. It is the 'organ', so to speak, that instinctively recognizes dangers that could threaten our survival (“existence conflicts”, “death-fright conflicts”, “attack conflicts”, “starvation conflicts”), the safety of our domain or home (“territorial conflicts”), the bond with members of our group (“loss conflicts”, “separation conflicts”, “abandonment conflicts”), or the survival of the group itself (“sexual conflicts”, “nest-worry conflicts”). Human beings share these conflicts with all species.
As human beings are capable of symbolic thought, we are able to experience these conflicts also in a figurative sense. For us, a “starvation conflict” can be initiated by the loss of a workplace and a fear of not knowing how to provide for ourselves. A “sexual conflict” can be caused by the distress that our partner is “mating” with someone else; an “abandonment conflict” by feeling excluded or left behind. “Territorial anger” can be triggered at home, at work, or at school.
Biological conflicts differ from stress (even extreme stress) insofar as they occur unexpectedly and engage the whole organism, of which the psyche is one component. From a biological point of view, “unexpected” implies that the individual was caught off guard and that this unpreparedness can have detrimental consequences. In order to support the individual during this unforeseen crisis, a Significant Biological Special Program, created for the exact situation, is instantly set into motion.
At the very instant of the conflict, the psyche associates a specific biological conflict theme with the event. This association is entirely subconscious. It remains unknown to the person who suffered the DHS until symptoms arise and reveal what exactly the subconscious mind associated with the particular conflict situation. For example, the unexpected loss of a loved one is not necessarily experienced as a biological “loss conflict”. It can also be subjectively perceived as a “separation” (from a mate or offspring), as an “abandonment” (from the pack), or as a “fright” (in the nest or the territory), all manifesting different physical symptoms on the corresponding organ.
In nature, these conflicts are generally quickly resolved. Because we humans alienated ourselves from Nature, and have moved away from living in accordance with It, we experience “territorial conflicts”, “attack conflicts”, “sexual conflicts”, “separation conflicts”, “abandonment conflicts”, or “loss conflicts” much more frequently and typically the conflicts last for longer periods of time. This is why the complexity and severity of diseases seen in human beings, specifically the increase in cancer incidence, is not found to the same extent in the natural world.
The biological conflict experience is innate. It is controlled from the very same brain relay that coordinates the emergency response to the particular conflict. How the psyche perceives a conflict is thus determined by the biological reading of the situation. It goes without saying that our beliefs, our values, our social and cultural conditioning, our knowledge, our expectations, our vulnerabilities, and many other factors, contribute greatly to the subjective perception and interpretation of the conflict situation. However, beliefs alone, independent of a conflict shock experience, are not able to activate a Biological Special Program, especially because “diseases” are not “dysfunctions” (Lipton) but are always meaningful.
A positive attitude, letting go of anger, feelings of trust and forgiveness can significantly reduce the intensity and duration of a conflict and therefore the “disease”-symptom(s). The New Medicine shifts or rather elevates “prevention” and “healing” to a level where the biology of human beings can be understood as intimately connected with spirituality and a chance for spiritual growth. GNM draws our attention to the meaning of the psyche as the “seat of the soul”, the true master of our lives.
|
|
THE BIOLOGY OF HEALING
Beginning at the moment of the conflict resolution, the entire organism becomes mobilized to restore the affected organ to its original function. Tissue loss generated during the conflict-active phase is refilled and replenished; additional cells that are no longer needed are removed. The autonomic nervous system switches into a state of prolonged vagotonia, forcing the organism to rest, 'while Nature heals itself'.
During their activity, microbes require an acidic milieu, which is suitably provided through the vagotonic nervous system, dominant during any healing phase. The vagotonic nervous system regulates digestion and excretion, which is why acidity levels are naturally elevated during normal nighttime hours. The theory that a low pH level causes cancer or any other disease is invalid. The exact opposite is, in fact, the case. It is the low pH level which provides the ideal environment in which an organ heals. However, since the degree of the healing symptoms is always determined by the intensity of the conflict-active phase, an intense healing process can lower the pH level to a serious degree. In this instance, the situation must be addressed preferably with natural remedies, including an alkaline-based diet.
Yet it is important to consider that the discharge produced by fungi and TB bacteria contains high amounts of protein which is eliminated through the stool, the urine, and other passageways. Eating foods rich in protein to replenish its loss is therefore also vital during healing. A balanced diet, ideally from organic sources, greatly supports the healing process that is already underway. However, foods alone cannot heal cancer. Given that the cancer is already healing naturally, the concept of "cancer-fighting foods" is redundant; it is a contradiction in itself.
Healing involves many biological processes. White blood cells (lymphocytes, macrophages, etc.) and antibodies, all participate in healing. Consequently, the so-called “immune system”, envisioned as a defense system against “disease”-causing agents (microbes, cancer cells, toxins), is in reality a support system created to aid a speedy recovery! The word “anti”-bodies is meaningless, as there is essentially no “body” to “fight against”.
Symptoms in the conflict-active phase are rare because during the stress period the organ function is in fact improved. This is why, for example, cancers that develop during conflict activity are only detected during a routine check-up or a follow-up examination.
The vast majority of symptoms, including certain cancers, are healing symptoms
and an indication that the related conflict has been resolved.
Typical healing symptoms are: swelling (because healing always occurs in a fluid environment), pain (caused by the swelling), fever and inflammation (due to the increased blood flow into the healing tissue), discharge (to expel the remnants and by-products of the healing process) potentially mixed with blood (during the reconstruction of tissue the capillaries break easily), night sweats (when TB bacteria are involved), headaches (due to the swelling of the brain edema in the organ-related brain area), and fatigue (as the autonomic nervous system is in a prolonged state of vagotonia).
Since “diseases” are either functional improvements of an organ (conflict-active phase) or healing symptoms (restitution phase) and therefore always meaningful, many of the established theories need to be re-evaluated. Based on the science of GNM, claims that environmental and dietary toxins, imbalanced pH levels, pathogenic microbes, faulty genes, a weak immune system, root canals, negative thoughts and beliefs, and the like cause diseases are no longer tenable as they are built on false premises.
Of course, a poor diet, smoking, exposure to electromagnetic pollutants, dental amalgams, negative thoughts, a pessimistic outlook, and other adverse factors deplete the organisms of energy. All influences that drain the body's vitality make recovery much more difficult and might even contribute to serious complications, specifically during the healing crisis. Owing to their high toxicity, most pharmaceutical drugs brutally interrupt the natural healing process, and even cause death, as we see in the extremely high number of chemo treatment victims.
Conversely, a diet rich in organic nutrients, the clearing of geopathic stress zones, the practice of yoga and meditation, and so forth, can accelerate the recovery process immensely. It has long been recognized that positive thoughts, as well as very specific sounds and colors, raise the vibrational frequency of the body and contribute greatly to healing. This increase in energy explains “spontaneous remission”. It accounts for the healing power of love and prayers and of sacred sites. It is the basis on which placebos (from the Latin placebo "I shall please") affect the patient.
Last, but not least, the understanding of GNM and the Five Biological Laws has in itself a healing effect as it liberates the mind from fear and inspires trust in the creative wisdom of Mother Nature.
THE BIOLOGY OF GENES
Dr. Hamer's findings are firmly anchored in the science of embryology. Taking into account the growth and development of the human organism, he discovered that the correlation between the psyche, the brain, and the corresponding organ - which he had already firmly established - was closely connected to the embryonic germ layers, from which all organs and tissues of the body derive. It was the brain CT studies that tied everything together.
An example: The biological conflict linked to the breast glands is a “nest-worry conflict”. The breast glands are of mesodermal origin and controlled from a very specific area in the cerebellum (see diagrams below). Just as endodermal lung alveoli cells are programmed to proliferate in the event of a death-fright, the mesodermal breast gland cells start to multiply as soon as a female suffers an unexpected “worry conflict” about the well-being of a “nest”-member. The purpose of the production of more breast gland cells is to allow the female to provide more milk, that is, nutrition, for the one who is in need. Even if a woman is not breastfeeding, this innate process is still activated, because in biological terms the female breast is synonymous with caring and nurturing. If the conflict lasts over a longer period of time, the cell proliferation creates a tumor or glandular breast cancer. However, the cancer is by no means a "malignant growth" but rather an age-old meaningful biological process inherent in every woman. This process is entirely independent of environmental factors or beliefs; especially since this life-securing natural response is the same in female mammals.
A woman doesn't get breast cancer without a reason, nor is it accidental whether the cancer involves her right or left breast. Whether the cancer is in the right or left breast is determined by a woman's biological handedness. If, for example, a right-handed woman suffers a “worry conflict” over her child, her left breast will be affected, as she biologically associates her child with the left side of the body. This is the side where she naturally holds her baby, leaving her dominant hand free to maneuver. In left-handed women, the situation is reversed. Neither genetic nor non-genetic factors can change this biological principle.
Why diseases “run in families”
Since families share the same cultural and social conditioning, the same indoctrinations, the same beliefs, and so forth, they often experience the same type of conflicts, causing the same “diseases”.
Family Dispute
![]() “anger conflicts”
“self-devaluation conflicts”
“separation conflicts”
“abandonment conflicts”
Georgia Russia War
![]() “death-fright conflicts”
“nest-worry conflicts”
“attack conflicts”
“existence conflicts”
Orthodox medicine views Lou Gehrig's (ALS) and Huntington Disease (HD) as “genetic disorders” that are passed on through the generations. According to Dr. Hamer's discoveries, the biological conflict linked to the muscles is “not being able to escape”, “feeling tied down”, or “feeling stuck”, resulting in muscle paralysis during the conflict-active phase. The biological significance of the paralysis is a “fake-dead”-reflex because in nature a predator often attacks a prey only when it tries to escape. The instinctive response is: “Since I can't escape, I play dead”, causing paralysis until the danger is over.
Nonetheless, even if members of a family or generations of families experience the same type of conflicts, the conflict shock itself (the DHS) is still a highly personal event which in that instant involves solely the brain, or rather the brain relay, of the person suffering the conflict at that particular time. This is why diseases cannot be passed on to future generations nor can they be inherited from a family member or ancestor, either genetically or epigenetically.
|
|
WHAT ARE “CANCER GENES”?
According to the standard theory, cancer genes are “faulty” mutations of normal cells. As soon as we tune into the science of GNM, we realize that nothing in nature is “faulty” or “abnormal”.
In the mid-1980s, Dr. Hamer wrote in his German publication Vermächtnis einer Neuen Medizin [Legacy of a New Medicine]: “We already know that, for instance, adenoid breast gland cancer cells, produced for one-time use only, are genetically different from the original autochthonous breast gland cells. During the healing phase, after the conflict has been resolved, TB bacteria remove exclusively the cancer cells that are no longer required, but leave the original cells intact. The genetic difference is obviously the feature that allows the microbes to recognize which cells can be removed and which have to stay” (Vol 1, p. 379). Another attribute that allows microbes to recognize cancer cells is that tumor cells differ in size and in shape from the “normal cells, which is why conventional medicine labels them, or rather interprets them, as “malignant”.
Dr. Hamer explains the genetic difference between cancer cells and “normal” cells with the fact that cancer cells have a specific, specialized, temporary function during any Biological Special Program. Hence, genetic changes occur with every cancer and with every so-called disease!
Genetic changes cannot take place without the involvement of the brain. Thus, the brain relay that controls the “disease” process also controls the genetic alterations in the conflict-related organ cells (the original “organ brain”).
Dr. Hamer's research reveals that the Biological Special Programs of Nature are encoded in every cell and are thus inscribed in the genetic code. The meaningful nature of the emergency programs rebuts the theory that diseases, and cancer in particular, are caused by “defective genes”. It proves the doctrine of the genetic origin of diseases to be wrong.
DOWN SYNDROME
In 1998, Anna, born with Down syndrome,
overcame this “genetic disorder”
through the application of German New Medicine
Prior to her GNM Therapy, Anna was considered broadly incapacitated, both physically as well as mentally. Doctors had diagnosed her to be as much as 60 percent physically defective. This included partial paralysis of her legs. At the age of four and a half, her mental development and verbal skills were at the one-year-old level. Anna's parents had embraced all officially recognized treatments for special-needs children, but these had failed to produce results.
Dr. Hamer: “It behooves a researcher to be modest. We must, therefore, guard ourselves against claiming that we could cure Down's, even more so as only the patients themselves, supported by their family, would be able to do that. What we can say, however, is that we recognize in all the symptoms of Down's natural Biological Special Programs we know how to work with. That is to say, if we get the Biological Programs into the healing phase, this would result in every single case in a normalization and thus in a healing of Down's” (Vermächtnis einer Neuen Medizin [Legacy of a New Medicine], 1987, Vol. 2, p. 457).
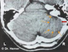
The first step was to analyze Anna's brain scan in order to identify what type of conflicts were involved. Among several others, the brain CT revealed two “hearing conflicts” (“I don't want to hear this!”), visible as Hamer Foci in the areas of the cerebral cortex that control the right and left inner ear.
Anna's first hearing conflict was caused by the constant noise of jackhammers in the building where her mother was working throughout her pregnancy. Since Anna is left-handed, her first mother-related conflict impacted on the left brain hemisphere, involving her right ear.
Her second hearing conflict was triggered by the screeching noise of circular saws from tree-cutting around the house. These noises persisted through the pregnancy and for some months beyond. In addition, Anna's father, a church-organ builder, often used a circular saw in his workshop adjoining the house. This father-related hearing conflict impacted on the hearing relay on the right side of the brain, involving the left ear.
If the conflicts are intense, the Hearing Constellation causes extreme noise sensitivity and almost unbearable “hearing pain”, particularly when the individual is repetitively exposed to the sound wave frequencies of the conflict-related noise (in GNM we speak of conflict tracks). For example, when Anna heard any loud noises, she would clap her hands to her ears. She reacted even more intensely to the noise of circular saws.
In GNM we also know that, if a child is “in constellation” while still developing, the maturity of the child typically stops at the age when the second conflict impacts in the other cortical hemisphere (see maturity stop). However, the maturation is only put on hold. Once one of the two brain hemispheres is conflict-free, so to speak, the child is able to catch up in its development very quickly. This was the case with Anna.
Based on his comprehensive research, Dr. Hamer has established that the symptoms of Down syndrome result from biological conflict shocks suffered by the fetus in the course of the embryonic development, specifically during the first trimester of pregnancy.
In the human psyche, “hearing conflicts” correlate to age-old biological codes signalizing potential dangers or threats. During pregnancy, a fetus can suffer biological conflicts just as much as any newborn, infant, child, or adult. Intra-uterine "hearing conflicts" can be caused by ear-piercing music, lawn mowers, noisy machines such as drilling tools held close to the belly, constant loud street noise particularly from trucks, motorcycles and car racing, or noise from saws or jackhammers, as in Anna's case. Yelling and screaming in the immediate environment can also provoke the conflict. In the womb, any such noises are perceived particularly loudly because the fluid in the amniotic sac is a much stronger sound conductor than air is.
Naturally, every child is different, which is why loud noises do not automatically cause “hearing conflicts” or any other conflicts per se in every unborn child. Some are more sensitive than others. If conflicts should, however, occur, then it is the subjective experience that determines what symptoms manifest as a result of the particular shock. This explains why each child with Down syndrome has its own set of symptoms.
Research into fetal development leaves little doubt that during gestation a fetus feels and behaves no differently from a newborn. This includes the response of the fetus to noise. Pregnant women often feel a jerk or sudden kick from the fetus following a sudden loud noise, like a door slam for example. Thus, the sound the fetus hears in the uterus during ultrasound procedures might well be far more harmful than we think (see The quality of fetal arm movements as indicators of fetal stress, PubMed, 2010). Since it is conventionally assumed that a woman's risk of having a child with Down syndrome rises sharply after 35 years of age, older mothers tend to undergo more ultrasound exams than women who are younger. Repetitive ultrasound procedures might, therefore, be the real reason why women of this age group are more likely to give birth to a Down syndrome child.
For example:
If the umbilical cord is wrapped around the neck, the baby can suffer a “fear of suffocation”. This specific type of conflict involves the goblet cells of the bronchi. In embryology, goblet cells are considered residual intestinal cells. During the growth and development of the respiratory system, the lung alveoli cells, created to process oxygen, form from the endodermal cells of the intestinal mucosa. The function of the goblet cells is to produce fluid in the bronchi, equivalent to the production of digestive juices in the intestines. Just as the intestinal cells proliferate with a biological conflict related to a “food morsel”, the goblet islet cells immediately increase in number in response to the shock of not getting enough air. The biological purpose of the additional goblet cells is to increase the fluid production in the bronchi so that the “air morsel” can be more quickly “digested”. During the healing phase, the goblet cells are broken down with the help of TB bacteria. However, if the healing process is continuously interrupted by conflict relapses, this causes mucoviscidosis in the bronchi or so-called cystic fibrosis. The same can occur when the umbilical cord is cut too early because the lungs of the newborn need a certain amount of time to get used to independent breathing.
A common conflict triggered during a difficult delivery or by the way the newborn is handled is a territorial anger conflict, involving the bile ducts of the liver with hepatitis in the healing phase.
GNM IN PRACTICE
Dr. Hamer: “In German New Medicine, we have a very clear understanding of how to deal with biological conflicts. However, during my 40 years as a physician, I have seen hundreds of children with Down syndrome. I am by no means suggesting that treating a child with Down's is an easy task. We also need to take into account that the therapy requires, first and foremost, the teamwork of the entire family, particularly of the mother. Also, we don't know yet which symptoms are reversible and which ones are not. But at least we know now where to start, even if there is still a great deal of work ahead - both for the family and the assisting therapist - in order to get such a little person back on the right course. On the one hand, this seems almost impossible. On the other hand, the well-founded hope that there is now a real therapy available and that Down's does no longer have to be considered “incurable”, can empower the family immensely” (Vermächtnis einer Neuen Medizin [Legacy of a New Medicine], 1987, Vol. 2, p. 455).
In order to help Anna resolve her hearing conflicts, the parents made every effort to remove her from all loud noises in her immediate environment, particularly from the screeching noise of circular saws. This was indeed a big challenge for her father, whose very job as an organ-builder required the use of saws.
The parents were richly rewarded. Within a few months, Anna's physical and mental development improved tremendously. She grew a full 10 cm, her face lost more and more of the characteristic Down syndrome features, she walked normally, she was able to speak complete sentences, and her fear of loud noises was gone. She started to go to kindergarten, where she was fully integrated as a 'normal' child.
Until then, such a remarkable recovery had been considered impossible. For Anna's parents, it was a 100% validation of the accuracy of Dr. Hamer's discoveries.
Trisomy 21
As all children with Down syndrome have a third chromosome attached to the 21st gene pair, medical researchers concluded that the additional chromosome 21 was the cause of Down's and responsible for its distinct symptoms. The most common type is the so-called “Free Trisomy 21” in which every cell in a person with Down's contains 47 chromosomes instead of 46. Anna was diagnosed with this chromosome type.
In the fall of 2009, the English translation of an article about Anna's story from the Swiss magazine Zeitenschrift was posted on this website. Shortly afterwards, we contacted Anna's mother to request an update on Anna's well-being, inquiring particularly whether any follow-up tests had revealed the status of the Trisomy 21. On October 19, 2009, we received, with much gratitude, a response.
Below is an excerpt from the letter. To protect the family, we will not disclose the name of Anna's mother.
This is revolutionary! The fact that Anna has improved so remarkably even though she still has the third 21st chromosome is a strong indication that the actual symptoms of Down syndrome are not caused by the Trisomy 21 but by biological conflicts experienced before birth. It shows, above all, that the symptoms of Downs are reversible if the related hearing conflicts are resolved.
Anna at the age of 15
|

















